Boyun Ağrısı

Boyun,başımızla gövdemizi birbirine birleştiren 7 omurdan , onu çevreleyen kaslardan ve sinirler , bağlar,damarlar ve bunlar gibi diğer yapılardan oluşur.
Boynumuz , beynimizden gelen emirlerin bütün vücudumuza kusursuz şekilde ulaşmasını ve vücudumuzdan da bütün organlardan gelen bilgileri de beynimize taşıyan yapının , omurgamızın başladığı yerdir.Öncelikle omuriliğimizi korumak gibi çok önemli bir görevi vardır. Vücuttaki en hareketli ve karmaşık eklemlerdir.
Boyun çevresindeki kaslar hem başın kontrolünü sağlar hem de bütün baş hareketlerini yapar.Böylece biz de başımızı istediğimiz gibi ağrısız,sağlıkla çoğunlukla da farkına bile varmadan hareket ettirebiliyoruz.

Kasların aşırı çalıştırılması,kasılması veya sinir köklerinin sıkışması boyun çevresindeki ağrıların en büyük nedenlerindendir.
Boyun Ağrısı ile birlikte neler görülebilir
- Boyun ağrısı
- Boyunda tutukluk
- Boyun Tutulması
- Boyun düzleşmesi
- Boyun hareketleri ile ses duyulması
- Sırtta ağrı
- Göğüs ön duvarında ağrı
- Kollarda uyuşma ve karıncalanma
- Kol ve ellerde yorgunluk, kuvvet kaybı
- Kulunç
- Baş dönmesi
- Görme bozukluğu
- Baygınlık hissi
- Bayılma
- Baş ağrısı
- Kulak etrafı ve / veya çenede ağrı
- Kulakta uğultu
- Mide bulantısı
- Unutkanlık
- Sürekli yorgunluk
- Uyku bozukluğu.
Boyun Ağrısı En Sık Kimlerde Görülür
Boyun ağrısı en çok ,boynun uzun süreli aynı pozisyonda olmasını gerektiren işlerde, kötü boyun dizilimi varlığında, uzun süreli özellikle başın yukarı bakar durumda yapılan işlerde boyun bölgesi çok zorlanır.

Endüstriyel işlerde (fabrikalarda çalışanlar,oto sanayii işçileri,perdeciler,boya işleri yapanlar,bina elekrtik tesisatı döşeyenler buna benzer işlerde çalışanlar..)

Sinir kökü sıkışmaları, daha çok da boyun bölgesi fıtıkları (disk patalojileri) diğer nedenler arasında oldukça önemli yer kaplar.

Çalışma ortamında boyun ağrısı, kasların aşırı kullanımı ile yorgunluk gelişmesinden kaynaklanır, bunun sonucu olarak boyun bölgesi ve kürek kemiği etrafında hassasiyet ve ağrı ortaya çıkar.

Ayrıca uzun süre başlarını eğerek çalışmak zorunda olan masa başı çalışanlar, ofis çalışanları, montaj işleri ile uğraşanlar, tekstil çalışanları, dikiş makinası başında çalışanlar, kasaplar, madenciler, ağır işlerle uğraşanlar, demir dökümhane çalışanları gibi…
Teknolojinin gelişmesiyle işimizden arabamıza, evimize , iletişimimize kadar işimizi kolaylaştırmasına rağmen ne yazık ki bir dizi sağlık sorunlarını da beraberinde getirdi.
Meslek hastalıklarının pek çoğu da kişilerin mesleğini uygularken aldıkları kötü pozisyondan kaynaklanmaktadır. Kamu çalışanları , diş hekimler, ofis çalışanları ,diş teknisyenleri, brokerlar , santral operatörleri gibi listeyi çok daha uzatmak mümkün…

Boyun rahatsızlıklarıyla ilgili en önemli faktör postür yani duruş ,oturuş bozukluklarıdır. Bu nedenden dolayı uygunsuz boyun duruşu (pozisyonu) boyun kaslarında erken yorgunluğa sebep olur.
Ayrıca aşırı derecede başı yukarıda tutuşlarda da sinir köklerine basıya ve sıkışmaya neden olur.
Boyun gerilim sendromu olan kişilerde, boyun kökü ve sırt üst kısmında ağrıdan yakınır.
Bütün bu sebepler sadece baş ve boyun değil kollara ,ellere yayılan ağrıya , uyuşmaya,karıncalanmaya neden olur.
Hangi durumlarda ağrının nedeni ciddi olabilir?
Eğer hastada kanser, romatoid artrit gibi ciddi bir sistemik hastalık varsa
Eğer ağrı günden güne azalacağına kötüleşiyorsa
Eğer kolda kuvvet kaybı his değişikliği meydana gelmişse
Ağrıyla beraber ateş, kilo kaybı gibi belirtiler varsa
Eğer boyun kemiklerinde hassasiyet varsa
Boyun Ağrısına Neden Olan Yaygın Mekanik Bozukluklar
- Genellikle uzun süre telefon, bilgisayar ekranı başında oturanlarda kas tutulması olur.
- Zor bir pozisyonda uyku sonrasında (kanepe veya koltukta uyuma gibi)
- Uzun süreli el işi yapmak veya yoğun stres veya gerginliğe bağlı boyun ağrısı oluşabilir.
- Omurganın omurları arasındaki disklerin daralmasıyla, sinire bası sonucunda ağrı gelişebilir.
- Komşu omur üzerlerinde gelişen kemik çıkıntının (osteofit) baskısıyla da ağrı oluşabilir.
- Sinir basısının yerine bağlı olarak ağrı, boyun veya kolda hissedilebilir.
- Fıtıklaşmış omurlar arasındaki diskler, boyun ağrısından çok kol ağrısına neden olur. Boyundaki bir sinirin sıkışması, şiddetli kol ağrısına neden olur.
- Boyun fıtıkları (disk herniasyonları), sinirin fonksiyon kaybına bağlı; refleks kaybı, his veya kas gücü kaybına neden olabilir.
- Boyun düzleşmesi,boyunun doğal ‘’C’’ şeklinin bozulması şiddetli ağrılara neden olabilir.
- Spinal darlık nedeniyle, spinal kordun (servikal miyelopati) sıkışması, ağrıya neden olur. Şişkin disk, kemik çıkıntısı veya spinal bağın kalınlaşması, kanalda daralmaya yol açabilir. Sadece boyun ağrısı değil, bacaklarda uyuşma, güçsüzlük, mesane veya rektum kontrolünün kaybı gibi yakınmalara da neden olabilir.
- Whiplash (kamçı darbesi); en sık arkadan darbeli araba kazalarında, boynun yumuşak dokularında aniden hızla, ileri ve geri hareketinde yaralanmasıyla oluşur. Bu kazalar ile ilişkili ağrı ve sertlik, genellikle yaralanmadan 24-48 saat sonra gelişir.
BOYUN AĞRISI NEDENLERİ
Boyun Ağrısına Neden Olan Problemler
Boyun ağrısı omurganın kemik ve eklem yapılarından köken alabileceği gibi kas, bağlar ve sinirler gibi yumuşak dokulardan da kaynaklanabilir. En sık boyun ağrısı nedenini yumuşak doku zorlanmaları oluşturur.
Travmalar
Trafik kazaları boyunda ciddi yaralanmalara neden olabilmektedir. Ayrıca güreş gibi sporlar ve yüksekten düşme de benzer derecede boyun sorunlarına yol açabilir.
Boyun ağrılarına neden olan trafik kazalarında en sık karşılaşılan durum arabaya arkadan vurulmasıdır. Vücut öne doğru hızla savrulurken, baş arkaya doğru gider. Daha sonra araba önde başka bir şeye çarparsa, vücut durur, ancak baş ileri doğru gider. Bunun en tehlikeli kısmı boynun arkaya doğru ani hareketi ile bağların ciddi bir şekilde yaralanmasıdır. Araba koltuklarının üst kısımlarındaki baş destekleri başın arkaya gitmesini engelleyen önemli güvenlik önlemleridir. Ayrıca emniyet kemerlerinin kullanımına mutlaka dikkat edilmelidir.
Kas ve Bağ Zedelenmeleri
Boyun ağrılarının en sık görülen nedenlerinden biridir. Genellikle boyunu destekleyen kasların aşırı gerilmesi, yorulması ve aşırı zorlanması sonucu gelişir. Ağır bir şey kaldırmak, aşırı spor, iş aktivitesi, yanlış masa başı çalışması kas spazmına neden olabilir.
Ayrıca yanlış pozisyonda uyuya kalma, yüksek yastık ve kötü seyahat şartları da boyun tutulması yapabilmektedir. Çoğu zaman basit tedaviler ile spazm ve tutulmalar çözülmektedir.

Boyun Ağrısına Neden Olan Kas ve Bağ Zedelenmeleri ve Travmalarında
Ameliyatsız Tedavi Yaklaşımları
Kuru İğne Terapisi
Tecrübeli ellerle yapılan palpasyon muayenesi, tedavi uygulanacak bölgenin veya bölgelerin belirlenmesine yardımcı olur.

Kuru iğneleme yönteminin ağrılı kas spazmlarını, ameliyatsız ağrı tedavisinde kullanılan en etkili yöntemlerden biridir.
Kuru İğneleme uygulaması ağrılı kas spazmlarının çözülmesi için kullanılan önemli bir uygulamadır.
Boyun ağrınız olduğunda, boynunuzdaki kaslar genellikle dokunmayla acı vericidir. Büyük bir alandaki ağrıya neden olabilecek bir kas veya bağ dokusu içindeki ağrılı, “sert” “düğümler” tetik noktaları olarak adlandırılır. Bu acı alanlar günlük faaliyetlerinizi ve hareketlerinizi sınırlandırabilir. Kuru iğneleme, aynı zamanda tetik noktası kuru iğneleme olarak da adlandırılır ve çok ince bir iğneyi cildin üzerinden iterek tetik noktasını uyarmayı içeren bir tedavidir. İğne, tetik noktaları ile ilişkili sıkı kas bandlarını rahatlatır. Sonuç olarak, kuruiğneleme terapisi, boyun ağrısı olan hastalarda ağrıyı azaltmada ve hareketi arttırmada yardımcı olur.

Kuru İğne Terapisi veya Fonksiyonel Kuruİğneleme ,uygulandığı bölgede minimal bir inflamasyon oluştururken, mikrosirkülasyonda ciddi artma, sinir sisteminde desensizitasyon ve ağrıda uygulamayı takiben anlamlı azalma sağlamaktadır. Bu sayede hastanın kısa süre içinde fonksiyonelliğini arttırılması amaçlanmaktadır. Bununla birlikte seratonin, meletonin ve oxitosin gibi hormonların salgılanması sistemik cevapların oluşmasına ve bir çok nörolojik ve ortopedik hastalıkta etkili sonuçların elde edilmesine olanak vermektedir. Hasta tarafından kolayca tolere edilmesi, tedavide hızlı sonuç vermesi, uygulanmasının kolay olması, yan etkilerinin az olması fizyoterapistler tarafında daha çok tercih edilme nedenlerindendir.
Etkisini ilk seansta gösterir. Spinal refleksler ve (golgi tendon organı) kas iğciğinin uyarılması yoluyla kısalmış ve fibrotik olan kasın gevşemesi sağlanır.Bu şekilde kas uzar, daha canlı ve esnek hal alır, kas kuvveti artar. Genelde 5 günde bir uygulanan dört veya beş seanslık bir programda tam iyileşme
sağlanır. Fizik tedavi, ilaç tedavisi, kinezyolojik bantlama ve egzersiz tedavi gibi tedavilerle beraber uygulanabilir ve tedavinin etkinliği bu şekilde daha da çok artırılabilir.
Akut veya kronik boyun ağrılarını hafifletir Gergin veya çekik boyun kasları
Boyun ve üst omuz bölgesinde ağrı ve spazmlara Boyun spazmları
neden olan inflamasyonu azaltır.
Aşırı şişmiş boyun kaslarında yorgunluğu giderir Aşırı kullanıma bağlı sertlik veya ağrı
Boyun yaralanmalarında iyileşme sırasında
koruma sağlar Boyun Artriti
Yaralı boyun kaslarının gücünü ve kasılmasını artırır. Boyun fıtığı
Hareket aralığını kısıtlamadan destek sağlar Tortikollis
Zayıf veya zayıf tondaki kasları güçlendirir Ameliyat sonrası boyun ağrısı
Boyun ameliyatını takiben iyileşmeyi hızlandırır Boyun kaslarındaki zayıflık
ve aktiviteye geri dönüşü hızlandırır
Tek başına pek çok ağrılı , spazımlı, gergin ,dolaşımı bozulmuş kasların ve bölgelerin eski sağlığına kavuşturulması için yeterlidir. İMS (intramusküler stimülasyon); Kuru İğneme,kinezyolojik bantlama teknikleri, manul terapi uygulamaları,kayropraktik yöntemler,egzersiz tedavileri , fizik tedavi vev kaplıca tedavileri ile birleştirilebilir.
Boyun Ağrısına Neden Olan Kas ve Bağ Zedelenmeleri ve Travmalarında
Ameliyatsız Tedavi Yaklaşımları
Kinezyolojik Bantlama

Boyun ve üst omuz bölgesinde ağrı, yangı ve spazmları giderir.Boyun çizgisinin altında başlayan boynun her iki tarafını da kapsar ve trapezius kasının üst kısmı boyunca uygulanabilir. Aşağıdaki konularda yardımcı olabilir:
- Süzülmüş boyun kasları
- Boyun spazmları
- Aşırı kullanımdan kaynaklanan sertlik veya ağrı
- Boyun bölgesinde artrit, bursit veya tendinit
- Tortikolis (bükülmüş veya eğik boyun)
- Boyun kaslarında zayıflık veya ton eksikliği
- Servikal disk hastalığı
- Boyun ameliyatından sonra iyileşme
3-5 günlük kullanım sonrası tekrar uygulama gereklidir.
Kinezio-Tape , boyun ve üst omuzlarda ağrı, iltihap ve spazmları hafifletir. İnce ve esnektir, hareket aralığını kısıtlamadan ağrı da rahatlama ve destek sağlar. Bu, boyun yaralanmaları olan kişilerin aktif kalmasına ve hareketsizlik ile ortaya çıkan güç ve hareket kaybından korunmasını sağlar.
Kinezyolojik bantlama, akut veya kronik rahatsızlıkların yanı sıra boyun cerrahisinden sonra iyileşme için kullanılabilir.
Her bir uygulama 3-5 günde bir tekrarlanır , uygulandığı tüm süre boyunca 7 gün 24 saat devam eden terapötik faydalar sağlar.
Keskin Boyun Ağrısı Kinezio-Tape FaydalarıTedavi Edilebilir Koşullar
- Akut veya kronik boyun ağrılarını hafifletir Gergin veya çekik boyun kasları
- Boyun ve üst omuz bölgesinde ağrı ve spazmlara Boyun spazmları
- neden olan inflamasyonu azaltır.
- Aşırı şişmiş boyun kaslarında yorgunluğu giderir Aşırı kullanıma bağlı sertlik veya ağrı
- Boyun yaralanmalarında iyileşme sırasında
- koruma sağlar Boyun Artriti
- Yaralı boyun kaslarının gücünü ve kasılmasını artırır. Boyun fıtığı
- Hareket aralığını kısıtlamadan destek sağlar Tortikollis
- Zayıf veya zayıf tondaki kasları güçlendirir Ameliyat sonrası boyun ağrısı
- Boyun ameliyatını takiben iyileşmeyi hızlandırır Boyun kaslarındaki zayıflık
- ve aktiviteye geri dönüşü hızlandırır
Boyun Ağrısına Neden Olan Kas ve Bağ Zedelenmeleri ve Travmalarında
Ameliyatsız Tedavi Yaklaşımları
Manuel Terapi Uygulamaları
Manuel terapi, fizyoterapistler tarafından geliştirilmiş ve yaygın bir şekilde uygulanmaya başlanmıştır.
Manuel terapi yöntemini uygulayan kişinin uzman bir fisyoterapist olduğundan emin olmalısınız. Bu yöntemde el yatkınlığı da oldukça önemli bir konudur ve her uzmanın uygulaması arasında farklılıklar olabilmektedir. Deneyim ve tecrübe ile birlikte el yatkınlığının olması, tedavinin sonucuna doğrudan etki etmektedir.

Boynunuza, uzman ellerden manuel bir dokunuşu çok görmeyin!
Gerçekte, her boyun ağrısı boyun fıtığına bağlı olmayabilir. Boyun ağrılarının pek çoğu mekanik kaynaklıdır yani altında ciddi bir rahatsızlık yoktur. Sorun, boyundaki kas ve bağ zedelenmeliri , eklemlerdeki problemlerdir. Özellikle yanlış oturma pozisyonu belinizin geriye doğru, boynunuzun ise öne doğru gitmesine neden olur.
Bu yanlış oturuş , boyun ve ense bölgesine aşırı yük binmesine, kasların normalden daha fazla yüklenmesine yol açar. Saatlerce aşırı yük altında kalan kaslar bir süre sonra başınızı taşıyamaz hale gelir ve boynunuzun ağrıması kaçınılmaz olur.
2013 yılında yapılan ve The Journal of Orthopaedic & Sports Physical Therapy (JOSPT) (Ortopedik ve Spor Fizik Tedavi Dergisi)’nde yayınlanan başka bir çalışmaya göre ise, mekanik boyun ağrısında en etkili ve en hızlı çözümün manuel terapi ve egzersiz ikilisinin olduğu bulundu. Boyun ağrısı olan 64 kişinin katıldığı çalışmada kişiler iki gruba ayrıldı. Bir haftalık tedavinin ardından manuel terapi ve egzersiz gurubunda yer alanların ağrıları %75 azaldı ve %70’inde ise günlük aktivitelerde belirgin iyileşme olduğu kaydedildi.
‘iki güne geçer’ denilerek pek fazla önemsenmeyen boyun ağrıları aslında birer uyarı niteliğindedir. Uzun süreli boyun ağrısı çeken, sabahları sık boyun tutulması yaşayan kişiler geleceğin boyun düzleşmesi veya boyun fıtığı adaylarıdır. Genellikle ağrıya ilk sebep olan kaslarda ve bağlarda ki aşırı yüklenmedir.Ağrıya sebep olan bozukluklar uzun süre devam ettiğinde omurgada geri dönüşü olmayan hasarlara neden olabilir. Meydana gelen bu hasar sadece boyunda değil, sırt, bel hatta kalça bölgesine kadar yayılır ve çok daha ciddi problemlerin oluşmasına yol açabilir. Boynunuza, uzman ellerden manuel bir dokunuşu çok görmeyin!

İyileşmeyeceği düşünülen boyun düzleşmesi, travmalardan sonra gelişen kas ve bağ zedelenmeleri gibi sorunlar, aslında manuel terapi sayesinde çok kolay bir şekilde iyileştirilebilmektedir. Bu tür rahatsızlığı olan kişiler, genellikle bu sorunlarının iyileşmeyeceğini düşünürler ve yaşamları boyunca bu sorunla yaşamak durumunda kalırlar. Düzleşme, tedavi edilmediğinde kireçlenme ve fıtığı da tetikleyebilmektedir.
Hizalanma problemi bulunan bir omurgada, yük hatalı bir şekilde bindiği için aşırı yüklenme olan bölgelerden fıtıklaşma söz konusu olabilmektedir.
Fıtıklaşma meydana gelen yerdeki yük azaltılmadan fıtığın eski yerine gelmesi mimkün değildir. Bu aşamada ameliyatla fıtığı çıkarmak, yükün yeniden değişik yerlere binmesine yol açar. Bundan dolayı da fıtık tekrardan ortaya çıkacaktır. Fiziksel bir tedavi yapılarak, yükün dengeli şekilde binmesinin sağlanması manuel terapi ile mümkün olabilmektedir. Yük dengeli ve düzgün olarak bindiğinde, omurga toparlanacak ve kendisini iyileştirme olanağı bulacaktır.
Yükün dengesiz bir şekilde bindiği yerlerde vücudun kendini koruma mekanizmasının sonucu olarak kireçlenme meydana gelebilir.
Kireçlenme ise, sinirlere bası uygulayacak düzeye geldiğinde ağrı ve uyuşma gibi sorunlara neden olur. Eklemlerde ise, kireçler noktasal ağrılar ve eklem kilitlenmesine yol açabilmekte, aynı zamanda tüm hareket fonksiyonlarını imkansız bir hale sokabilmektedir.
Duruş Bozukluğuna Bağlı Boyun Ağrısı
Başın İleri Pozisyonu

Başın duruşta ileriye doğru hareket ettiği her inç için, başın ağırlığını 10 kat artırır!
Kötü Boyun Duruşu – Neden Bu kadar çok acı verir ?
Boynun kötü duruşu, baş , omuz gerginliği ve ağrısının en yaygın nedenlerinden biridir.Başın İleriye Doğru Pozisyonuna yol açar. Bu duruş bozukluğu, boyun kaslarının zedelenmesi veya boyun travmaları, uyuma pozisyonları, stres,bilgisayar boynu , kanepe boynu ve okuyucu boynu, uygun olmayan solunum alışkanlıklarına bağlı veya yaralanmaların bir sonucu olabilir.
Uzun süreli anormal boyun duruş pozisyonu kasları gerilmesine, disk herniasyonlarına , artritis, sıkışan sinirlere ve instabiliteye yol açar. Kötü sağlık, omuriliğin gerilmesinden kaynaklanabilir. Baş, boyun, çene ve omuz ağrısının önemli bir kısmı, en azından kısmen,fibromiyalji sendromu , miyofasiyal ağrı sendromu,temporomandibular eklem disfonksiyonu ve kronik yorgunluk sendromları dahil olmak üzere kötü postürün etkilerinden kaynaklanmaktadır.
Değişmiş postüre bağlı olarak boyundaki ekstra basınç, servikal omurganın normal eğrisini düzleştirir, anormal kas gerginliği , bağlarda zedelenmeler, kemiklerin ve boyun eklemlerinin zorlaması ile sonuçlanır, bu da eklemlerin normalden hızlı bozulmasına neden olur. Bu da boyun eklemlerinde dejeneratif eklem hastalığı veya servikal spondiloz ilesonuçlanır.
Başın duruşta ileriye doğru hareket ettiği her inç için, başın ağırlığını 10 kat artırır!
Soldaki örnekte, 7,6 cm’lik bir ileri boyun duruşu boyundaki başın ağırlığını 13,61 kg artırır ve kaslara binen yük miktarı 6 kat artar.
Kötü Boyun Duruşunun Etkileri
Postür, normal denge ve sağlığın önemli bir parçasıdır. Birçok duruş bozukluğuna bağlı postural faktör, boyun, omuz ve sırt kaslarının spazmlarına neden olmakta, sağlıklı biyomekanik fonksiyonu azaltarak yumuşak dokuları zayıflatmaktadır. Bunlar, büyük ölçüde bilgisayarların popüler kullanımı, bilgisayar veya masa başında uzun süre oturma, vücut tipi için uygun olmayan sandalyeler ve masalar, uyku boyunca kötü duruş sergileyen destekleyici olmayan bir yatak, dekupaj yapma,el işi yapma gibi pek çok neden ileri kafa duruşuna sebep olur. Ayrıca son zamanlar da ,düzenli spor veya egzersiz eksikliği , aşırı olduğu düşünülen öğrenme aktiviteleri ve aynı zamanda çok ağır olan okul çantalarına da artan bir şekilde vurgu yapılmaktadır.
Boyun ve omuz problemleri olan bireyler, bu problemleri olmayanlara göre daha ileriye doğru kafa duruşuna sahiptirler.Bu duruş bozukluğu ,muhtemelen boyun ağrısı olan bireyler için en yaygın postür sapmasıdır.
American Journal of Pain Management dergisinin Ocak 1994 tarihli sayısında, postür ve fonksiyon, bel ağrısı , boyuna doğrudan bağlı baş ağrıları ve stres gibi kronik ağrı ile ilgili rahatsızlıkları olan hastalarda kötü duruşun ortaya çıkmasıyla ilgilidir. ilgili hastalıklar. Postür, solunum fonksiyonundan hormonal üretime kadar her işlevi etkiler ve yönlendirir. Omurga ağrısı, baş ağrısı, ruh hali, tansiyon, nabız ve akciğer kapasitesi, kötü duruştan en kolay etkilenen işlevler arasındadır.
Mayo Clinic’in Sağlık Mektubu Vol. 18, # 3, Mart 2000, uzun vadeli ileri boyun duruşunun etkileri “uzun süreli kas gerginliği, disk herniasyonları ve sıkışmış sinirlere” yol açar.
Boynunuzun Postürünü Değiştirebilir misiniz?
Kötü postüral duruşun neden olabileceği , boyun yapılarının maruz kaldığı aşırı yüklemeye bağlı değişiklikler ve dejenerasyonun durması veya tersine çevrilmesi , boyun ağrısı semptomları, gerginlik ve migren baş ağrıları ile omuzlar arasındaki ağrıyı içeren pek çok sorun, kötü boyun duruşunun düzeltilmesiyle sonuçlanabilecek problemlerdir.
Spinal dokular uzun süre önemli basınçlara maruz kaldıklarında, bu değişimlerin kalıcı hale gelebileceği bir deforme ve deformasyona uğrarlar. Bu nedenle, kötü boyun duruşunu düzeltmek için çok sayıda teknik kullanarak hastayla birlikte uyumlu bir çaba gerektirir.
| Boyun Postürü Problemleri için Kendi Kendinizi Test Edebilirsiniz:
Duvar Testi – Kafanızın arkasına doğru duvara yaslanın ve topuklarınız altı santim kadar ileri basabilir, daha fazla değil . Kalçanız duvara dokunurken, elinizle boynunuz ve duvar arasındaki mesafeyi kontrol edin. Boyunla duvar arası 3 cm bir alana girebiliyorsanız, iyi bir duruşa sahip olursunuz. Eğer değilse, boyun duruşunuz öne doğru çıkmaktadır ve eklemlerin ve disklerin bozulmasına maruz kalmıştır. |
2-6 Eylül 2009 tarihlerinde IEEE EMBS Minneapolis, Minnesota, ABD’nin 31. Yıllık Uluslararası Konferansına göre; “Zaman içinde kötü duruş, ağrı, kas ağrıları, gerginlik ve baş ağrısına neden olur ve osteoartrit gibi uzun süreli komplikasyonlara yol açabilir. Sürekli duruşlara bağlı fizyolojik vebiyomekanik stres, normal kas iskelet sistemi gelişimi için gerekli olan önemli kas iskelet sistemi uyarılarını sınırlar ” belirtmiştir.
Kötü Boyun Postürü Çözümleri
Doğru boyun ve omuz postürü bilinci düzeltmenin başlangıcıdır.
Yukarıda açıklandığı gibi duvar testi yapın.
Zayıf boyun duruşunu düzeltmenin önemli bir parçası, zamanla zayıflamış ve yorulmuş olan postural boyun kasları üzerinde kontrol kazanmaya yardımcı olmak için düzenli boyun ve postür düzenleyici egzersiler yapmalısınız
Ofis kullanımı ve video oyunu için bilgisayar ekranınızın yüksekliğini ekranın en üst üçte birlik kısmı gözünüzün başına gelecek şekilde yerleştirin ve ekran yüzünüzden 18-24 inçtir. Bilgisayar ergonomisi hakkında daha fazla bilgi edinmek önemlidir.
Sık sık ara verin.
Uzun süreler boyunca oturursanız, sadece 2-3 dakika kadar boyun egzersizleri yapmak için sık sık ara verin.
Doğru duruşun korunması sadece boyun için değildir. Sırtın hizalanması da önemlidir ve bu da boyun ve omuzları etkileyebilir.
Journal of Physical Therapy Science dergisinin Kasım 2014 tarihli sayısında, yazarların bacaklarla oturmak, günde 3 saatten fazla oturmanın, omuz eğimine ve ileriye doğru kafa duruşuna neden olabileceği sonucuna vardı.
Koltuklar, omurgayı desteklemek için uygun şekilde tasarlanmamışsa, otururken veya araç kullanırken daima bir sırt destek yastığı kullanın.
Birçok sırt çantası uygun şekilde tasarlanmamıştır ve başın arkadaki ağırlığı telafi etmek için ileriye doğru hareket etmesine neden olur. Siz ve / veya çocuklarınızın, ağırlığını eşit olarak dağıtan ve boyun duruşu sürecini başlatan zorlanmanın önlenmesine yardımcı olacak şekilde tasarlanmış sırt çantaları kullandığınızdan emin olun.
Uluslararası “Cephalalgia” dergisinin Şubat 2009 tarihli sayısında, “Boyun ağrısı ile okul saatlerinde bilgisayar kullanımının yüksek saatleri arasında ilgili bir ilişki kurduk ve yeni ergenlik öğrencilerinin (ergenlik öğrencileri) uygun ergonomi ve postural hakkında eğitilmesi gerektiğini doğruladık. sağlık.”
Cephalalgia’daki bir Şubat 2009 tarihli makalede Kronik Boyun Ağrısı Hastalarında Solunum Fonksiyon Bozukluğu ile ilgili olarak; … “Bu çalışma, boyunda artmış ileri kafa duruşu ile solunum kaslarındaki azalmanın azalması arasında güçlü bir ilişki olduğunu göstermiştir.”
Kayropraktik Araştırma ve Klinik Araştırma Dergisi’ne göre. 1994 9 (1): 19-23 boyun ağrılı hastalarda boyun duruşundaki değişikliklerin ilişkisine ilişkin bir makalede; Boyun ağrısı olan hastalarda on iki haftalık bir süre içinde normal boyun eğrisi tekrar kapandı, klinik semptomların tüm ölçümlerinde iyileşmeler kaydedildi. Hastanın Visual Analog Skalası, Boyun Disabilite Anketi ve Ağrı Basıncı Algometrisi ile gösterdiği iyileşme, servikal omurganın eğrilik derecesinde bir artış ile korele idi.
Duruş Bozukluğuna Bağlı Boyun Ağrısı ve Sırt Ağrısı
Kamburluk (KİFOZ)

Bazı insanlar daha kambur dururken bazıları daha dik durmaktadır. Göğüs ve sırt bölgesinde bulunan kifoz kişiler arasında farklılıklar gösterir. Bu kamburluğun fizyolojik olarak kabul edilen sınırı 20 ile 55 dereceler arasıdır.Kamburluk duruş bozukluklarından kaynaklanabileceği gibi, bazı kas ve kemik sorunlarının belirtisi de olabilir. Cerrahi müdahale gerektiren vaka sayısı azdır
Kamburluk olarak da bilinen kifoz rahatsızlığı, omurganın öne doğru eğilmesiyle meydana çıkan omurganın diziliminin bozulması durumudur. İnsan omurgasına yandan bakıldığında boyun,sırt,bel bölgesinde birbirini izleyeneğrilikler yapısal olarak bulunur. Bu eğrilikler öyle birbirleriyle ahenk , uyum ve denge içinde çalışırlar ki farkına bile varmayız taki bu ahenk bozulup ağrılar başlayıp görüntü bozulana dek…
Bir boğaz köprüsü gibi olduğunu düşünebilirsiniz.
Başımızın ağırlını omuzlarımıza ve oradanda ayaklarımıza aktarır,elimizle,kollarımızla,sırtımızla v.s. taşıdığımız herşeyi bu eğrilikler sayesinde vücudumuza zarar vermeden taşımamıza yardım eder.
Kifozun Belirtileri Nelerdir?
Kifoz, öne doğru olan eğikliğin yanında aşağıdaki belirtilere de yol açabilir
- Hafif veya şiddetli sırt ağrısı
- Boy uzunluğunun azalması
- Dik durmada zorluk; günün ilerleyen zamanlarında zorluk derecesinin artması
- Kas yorgunluğu
- Omurgada aşırı hassasiyet
Bu belirtiler birçok vakada ilerleme göstermez veya çok yavaş ilerler. Ancak bazı şiddetli vakalarda belirtiler hızlanabileceği gibi, aşağıdaki belirtiler de görülebilir:
- His kaybı
- Vücut direncinin ve kuvvetinin kırılması
- İdrar kaçırma, büyük tuvalet kontrolünü kaybetme
- Bazı nadir vakalarda göğüs ağrısı, nefes darlığı, kalp yetmezliği gibi kaburgaların çevrelediği organlarda görülen sorunlar
Kifoz Neden Olur?
Duruş Bozukluğu
Ayakta veya otururken dik durmamak geçici kifoza yol açabilir. Bu tür kifoz, duruşa dikkat edilince veya uzanınca hemen kaybolur çünkü henüz omurlarda veya kaslarda geri dönülmez hasara yol açmamıştır.
Ancak sandalyede geriye sarkarak oturmak, ağır sırt çantası taşımak, ders çalışırken sürekli öne doğru eğilmek,uzun süreli minik aralar vermeden yapılan ofis çalışmaları vb. etkenler omurları destekleyen kas ve bağların kalıcı olarak gerilmesine yol açarsa, tedavi gerektiren kifoza neden olabilir.
Omur Şekillerinin Sorunlu Olması
Scheuermann kifozu adı verilen hastalıkta omurlar doğal dikdörtgen şeklinde değil üçgene yakın şekillenmektedir. Bu hatalı omur gelişiminin neden kaynaklandığı tam olarak bilinmemekle birlikte omurlara ulaşan kan dolaşımındaki bozukluktan kaynaklanabileceği üzerinde durulmaktadır.
Ana Rahmindeki Hatalı Gelişim
Bebek omurları ana rahmindeki gelişim sürecinde kifoza uğrayabilir. Birçok vakada iki veya daha fazla omur birbiriyle kaynamakta ve hareket kabiliyeti sınırlanmaktadır. Kifoz olan bireyin yakın akrabalarında kifoz görülme riskinin daha büyük olduğu hesaba katılınca, bu durumun genetik olabileceği de düşünülmektedir.
Bazı Hastalıklar
- Osteoporoz:Kemiklerin daha zayıf ve kırılgan hale gelmesi, kemik erimesi
- Spondiloz:Omurgadaki aşınma durumu, yaşlılığa bağlı olarak ortaya çıkabilir veya ilerleyebilir
- Spina Bifida:Omurganın ortasında boşluğa yol açan doğum defekti, ayrık omurga
- Paget Hastalığı:Yeni kemik gelişimini kesintiye uğratan ve kemiklerin zayıflamasına yol açan bir hastalık
- Nörofibromatoz:Sinir çevrelerinde tümör oluşumuna neden olan hastalık
- Kas Distrofisi:Kas kuvvetinde ilerleyici özellik gösteren zayıflık
- Tüberküloz:Bir tür bakteriyel akciğer iltihabı
Darbe almak, omurga ameliyatlarının yan etkiler doğurması gibi faktörler de kifoza yol açabilir. Omurgada ortaya çıkan veya vücudun başka bir yerinde ortaya çıkmış olmasına rağmen omurgaya yayılan kanser türleri de kifoza yol açabilir.
Kamburluk (Kifoz) omurganın hangi bölgesinde görülür?
Kambur (Kifoz) sırt bölgesinde görülür. Bu bölgede normal kifoz açısının üst limiti 50 derece olup bu derecenin üzerinde kamburluktan (kifoz) söz edebiliriz.
Kamburluğu (Kifoz) varlığı nasıl anlaşılır?
Kamburluğu (Kifoz) olan kişilere yandan bakıldığında baş vücuda göre önde izlenir. Sırta yandan bakıldığında kifoz çıkıntısınınnormalin üzerinde olduğu fark edilir. Kamburluğu olan bazı kişilerde bel çukurunda da bir artış görülebilir. Bu değişiklikler çoğu kişide kıyafetleri üzerinde olduğunda fark edilemez. Dolayısıyla kişiyi değerlendirmede buna dikkat edilmelidir. Ailelerin pek çoğu, çocuklarındaki kifozu yazın denizkıyısında ve havuz aktivitelerinde fark ederler.
Aile Kamburluktan (kifoz) şüphelendiğinde ne yapmalı?
Ortopedi veya omurga cerrahisi bölümlerine ulaşmaları en doğru yoldur. Gerekli durumlarda ileri tetkiklerle (röntgen, MR, tomografi gibi) kifoz tanısını netleştirip açısal ölçümü yapılmalıdır.
Duruş bozukluğu ile Kamburluk (kifoz) arasındaki fark nedir?
Bazı kişiler alışkanlık olarak kambur kifoz açıları artmış şekilde dururlar. Bu kişilerin kifoz rahatsızlığı olanlardan farkları istediklerinde omurgalarını düzelterek dik durabilmeleridir. Röntgen açı ölçümleri de normale yakın 60 derecenin altında çıkar. Bazı ağır spor dallarında artan göğüs kafesi hacmi ve kas kitlesinin omurgayı öne çekmesi,body çalışanlar ya da ergenlik çağındaki kız çocuklarında gelişmekte olan göğüsleri gizleme gayreti de duruş bozukluğu sebebi olarak düşünülebilir.
Kambur Duruş bozukluğu ileri ki yaşlarda kalıcı Kifoz rahatsızlığına dönüşebilir mi?
Kambur duruş bozukluğu zaman içinde omurganın esnekliğinin azalmasına veya kaybolmasına neden olabilir. Zaman içinde koltuğa yığılarak kambur oturmak,gereğinden fazla eğilerek ders çalışmak,bilgisayar ,telefon oynamak,uzun süreli masa başı ofis çalışmaları ve kambur yürümeye bağlı olarak omurgadaki kasların, bağların kısalarak kifoz rahatsızlığının ilerlemesine kalıcı hale gelmesine neden olur. Çaba sarf etseler de dik duramazlar. Bu kifoz rahatsızlığına dönüşüm olarak düşünülebilir.
Kambur Duruş bozukluğu tedavi edilmezse ilerde kalıcı kifoz rahatsızlığına neden olur mu?
Kesinlikle, duruş bozukluğu ileride oluşabilecek kifozu engellemek , ilerlemesini durdurmak için düzeltilmelidir.
Kamburluğun veya Kifozun nedenleri nelerdir?
Çocuklarda gözlenen ve çoğunlukla gözden kaçan duruş bozukluğuna bağlı kifoz (kambur duruş) en sık sebeplerden biridir. İkinci bir kifoz nedeni Scheuermann Hastalığıdır. Ergenlik çağında ortaya çıkar ve erkeklerde kadınlardan daha sık görülür. Bu hastalıkta omur gövdelerinin büyüme kıkırdaklarının ön kısmında büyüme yavaşlar, arka kısmında ise normal devam eder. Sonuçta omur gövdelerinin önü arkadan daha kısa birer yamuk haline gelerek kamburluk oluşturur. Çoğunlukla ağrısız seyreder.
Doğuştan(Konjenital) kifoz, omurların eksik, yapışık ya da şekli bozuk oluşmasına bağlı olarak ortaya çıkar. Bu tür kamburluklar hemen doğum sonrasında da fark edilebilir. Bazen de omurlar arasında kaynamalar, yapışıklıklar zaman içinde asimetrik büyümeyle kamburluğa sebep olur. Omurga eğikliğinin yanı sıra boy kısalığına da sebep olup hızlı ve ciddi biçimde ilerleyebilirler. Cerrahi tedavi ile ilerleme engellenip düzelme sağlanabilir.
Yaşlılarda kemik erimesine bağlı omurga da kifoz ve kırıklarda oluşturabilir. Ardışık omurların önlerinde oluşan çökme kırıkları sonrası oluşan kamalaşma kamburluğa sebep olabilir.
Kifoz hastalarının sıkıntıları nelerdir?
Başlıca şikayet kozmetik olup sırta yandan bakıldığında eğrilik göze çarpar.
Kifotik kişilerde şiddetli sırt ağrısı, omurgada sertlik,ayakta uzun süre kaldığında dayanılmaz ağrı tarif ederler.
Kaslarda ki ve bağlardaki kısalıklara bağlıgelişen ağrı ve genel yorgunluk hali kifozun ek belirtileridir. Konjenital kifoz ya da omurga kırığına bağlı kifozlarda başka sebeplere bağlı ağrı görülebilir.
Kamburluk(Kifoz) önlenebilir mi?
Önlemek için neler yapılabilir?
Kifozun önlenebilmesine yönelik egzersizler erken dönem de genelde duruş bozukluğuna bağlı kifoz ya da erken dönemde Schuerrmann kifozu için geçerlidir.
Kısa olan karın, göğüs ve bacak kaslarının uzatılması
Uzamış,gergin omurga çevresi ve kürek kemiği çevresi kasların güçlendirilmesi ana prensiplerdir.
Kifozun cerrahi tedavisi ?
- Kamburluk çok belirgin olduysa
- Ağrı kesici veya diğer ağrıyı azaltan tedaviler ile kontrol altına alınamayan kalıcı ağrı varsa
- Nefes darlığı veya sinirsel problemler baş gösterdiyse
- Ameliyat olmaması durumunda kifoz hızla ilerleyecekse
Eğimin çok arttığı hastalarda (75 derece ve üstü) cerrahi tedavi tercih edilir. Cerrahi ile kamburluk düzeltilir ve eğikliğin ilerlemesi durdurulur
Duruş Bozukluğuna Bağlı Boyun Ağrısı ve Sırt Ağrısında
Ameliyatsız Tedavi Yaklaşımları
Kuru İğne Terapisi
Kifotik kişiler, şiddetli sırt ağrısı, omurgada sertlik,yansıyan ağrılar ve ayakta uzun süre kalındığında dayanılmaz ağrı tarif ederler.
Kuru iğneleme yöntemi, ağrılı kas spazmlarını çözmede, ameliyatsız ağrı tedavisinde kullanılan en etkili yöntemlerden biridir.

Kuru İğneleme işleminin, vücut üzerinde, bölgesel, bölümsel ve sistemik olarak cevap verecek şekilde hareket ettiğini biliyoruz. Örneğin, bir İğne insan vücuduna verildiğinde, penetrasyon noktasında lokal reaksiyonlar oluşur. Vücut sitokinler, madde P ve CGRP (Calcitonin Gene RelatedPeptide) salacak şekilde reaksiyona girer. İğnenin deriye nüfuz ettiği yerde, vücut vazodilatasyona uğrar, artmış kan dolaşımı oluşumuna ve artmış doku onarımına neden olan bir dizi reaksiyona neden olan CGRP’yi serbest bırakır. Buna ek olarak, vücut bölümsel olarak spinal seviyede bir Enkefalin salınımı meydana gelecek şekilde lokal bir ağrı tepkisine neden olacak şekilde reaksiyona girer. Ayrıca, beyinden analjezik etki yaratan bir Beta Endorfin salınımı gerçekleştirir, genel bir sistemik tepki ile sonuçlanacak bir çok reaksiyon zincirini ve iyileştirme uyarısını başlatmış olur.
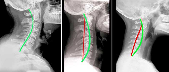
BOYUN DÜZLEŞMESİ
Ameliyatsız Tedavi Yaklaşımları


Boynumuz, anatomik olarak başın agırlığını taşıyan, başı gövdeye bağlayan ve başın duyusal ve motor aktivite işlevini yerine getirmek amacıyla gereken hareket açıklığına olanak veren bir yapıdır. Bu yapıda meydana gelen en küçük bir bozuklukluğun derecesinin büyüklüğü yada küçüklüğü önemli olmaksızın yaşam kalitesini önemli ölçüde azaltabilmektedir.
Boyunla ağrısı şikayetiyleri olan hastalar diğer bölgelerde görülen ağrılara kıyasla çok daha fazladır.
Böyle bir durumda boyun kasları, bağları, atardamarlar, sinirler, kısacası boynun arka kısmındaki hemen bütün anatomik yapılar gerilir. Bu gerilme ağrı-spazm-ağrı zincirine yol açar. Genellikle ilk belirti ense bölgesinde ağrı ve boyun tutukluğu şeklindedir. Zamanla vertebral atardamarların gerilmesi ile çapları daralacağı için beyinciğe giden kan akımı azalır, buna bağlı fonksiyon bozukluğu da vertigo yani baş dönmesidir. Bazen kulak çınlaması, gözlerde sinek uçuşması, kronik yorgunluk ve boyundan sırta yayılan ağrı, başının ağır gelmesi hissi gibi şikayetler de ilave olabilir.
Ağrı, tutukluk ve/veya baş dönmesi şeklindeki şikayetler zamanla kronikleşir. Oldukça rahatsız edici bir hal alır. Eğer kişide birde boyun fıtığı veya kireçlenme, dejenerasyon varsa, birbirlerini daha da tetiklerler.
Servikal lordoz düzleşmesi belirgin olarak yanlış kinestetik komponentlerden dolayı oluşur.Boynumuz normal şartlar altında bu tarz bir yüklenmeyi tolore edebilecek güçtedir.bunun için günlük yaşantınızda boyun sağlığınızı da düşünerek aktiviteleri gerçekleştirmeniz gerekir. Örneğin telefonlarımızı genelde yüzümüze dik açıyla tutmayıp yere doğru yaklaşık 45 derece eğimli bir şekilde uzun bir süre tutmak neticesinde baş bu konumda durmaya uyum sağlar ve normal anatomik pozisyona aykırı bir duruşa alışır.Bu da uzun vadede büyük sorunlar oluşturacak ortapedik deformitelerin habercisidir.
Boynun, anatomik olarak başın ağırlığını taşıyan, başı gövdeye bağlayan ve başın duyusal işlevini yerine getirmek amacıyla gereken hareket açıklığına olanak veren bir yapıdır. Bu yapıda meydana gelen en ufak bir bozukluk yaşam kalitesini önemli ölçüde düşürmektedir. En hareketli omurlar boyun bölgesinde bulunur. Bu nedenle rotasyonel aktiviteler, lateral fleksiyon aktiviteleri, ekstansör ve fleksör aktiviteleri geniş hareket açıklığına sahip olması daha çok rahatsızlanması bununla ilişkilidir. Bu hareketlilik fonksiyonel olarak avantaj sağlasa da stabilizasyon konusunda kayıplara sebep olur.Örneğin ani durma, trafik kazaları,sarsılma ile meydana gelen wiplash yaralanmalarında servikal bölgedeki hareketlilik ,hem nörolojik hem de ortopedik temelli problemlere neden olur. Ayrıca akıllı telefon kullanımı sırasında çok uzun süre hareketsiz,aynı pozisyonda ve lateral fleksiyonda kalan boyun kasları gevşeyemez ve kaslardaki bu gerginlik, spazm omurlar üzerinde baskıya neden olur.Uzun süreli ve sık tekrarlanan bu baskı omurların pozisyonlarını değiştirerek servikal lordoz düzleşmesi dediğimiz rahatsızlığa neden olur.
Boyun bölgesinde 7 adet omur vardır bu omurlar yandan tepe noktası boynun ön bölgesi olan ’C ‘ harfini andırır. Boyun bölgesindeki omurga eğriliğini servikal lordoz olarak ifade ediyoruz. Bu eğri tamamen normaldir başın yükünü taşımak için olması gereken bir eğriliktir, çünkü kafa ve omurganın stabilize edilmesine yardımcı olur. Fakat eğrinin düzleşmesi yani fizyolojik lordoz olarak ifade ettiğimiz açının azalması veya kaybolup ’ I ‘ şeklini alması durumunda boyun düzleşmesi olarak ifade ettiğimiz klinik tablo ile karşılaşırız.Bazen bu eğri daha da ilerleyip tersine açılanma yapmaya başladığında daha da ciddi bir sorunla karşı karşıyayız demektir.
Boyunda fleksiyon alt servikallerde lordoz artıştı, protraksiyon, üst torakal bölgede kifoz artışı belirginleşir. Boynun ön tarafındaki kaslarda kısalma, arka tarafındaki kaslarda ise gerginlik, spazm, tetik noktaları gelişir. Levator skapula, SKM, skalen, suboksipital, pektoralis major ve minör, trapezius üst kısmı izometrik kasılırken, alt servikal, torasik erektör spine, rhomboid kaslar ve trapezius orta ve alt kısmı uzamış, gergin, spazmlı ve hassas hale gelir..Kasların gerilmesi alt çenenin geriye çekilmesine neden olduğu için bu duruma temporamandibular eklem ağrıları da eşlik edebilir.
Fizyolojik lordoz olarak ifade ettiğimiz boyun eğriliğinin açısında azalma söz konusu olduğunda, başımızın ağırlığı , üst sırt bölgesinde bulunan ve kifoz olarak bilinen eğriliğe doğru şekilde aktarılamaz ve dengelenmez hale gelir. Baş ağrısına neden olan kasların kafatasına yapıştıkları yere aşırı yük biner. Baş , boynun arkasında bulunan suboksipital kaslar,splenius capitis ve cervisis tarafından tutulur. Başı dik tutmak için bu kasların gücüne, dengeli çalışmasına ihtiyaç vardır. Başı dik pozisyonda tutmak çok önemlidir. Eğer baş dik pozisyonda olmaz ise omurgalar arasında ki disklere, omurlara daha fazla dengesiz ağırlık aktarılmasına ve beraberinde daha fazla yıpranmış disk dejenerasyonu rahatsızlıklarına neden olabilir.
Boyun ağrısını anlama
Boyun ağrısının birkaç farklı türü vardır. En sık görülen boyun ağrısı türü, spesifik olmayan boyun ağrısıdır. Buna ayrıca mekanik boyun ağrısı denir. Kesin nedeni bilinmemekle birlikte genellikle boyunda ki kaslara veya bağlara binen aşırı dengesiz yükler veya burkulmalardan kaynaklanmaktadır. Kötü duruş, kas dengesizlikleri (bazı kaslar sıkılaşır ve aşırı kullanılır, diğerleri zayıflar ve az kullanılır hale gelir) ve travmatik yaralanmalar (örneğin motorlu araç kazaları) yaygın nedenlerdir.
İnsanlar sıklıkla boyunda, omuzlarında ve üst sırtlarında sızlama veya sertlikten yakınırlar. Boynun hareketi kısıtlı olabilir ve belirli yönlerde hareket edilmesi ağrıyı kötüleştirebilir. Bazı hastalar boynundaki gerginlikle ilgili baş ağrısı yaşayabilir. Zayıflık, ağrı, uyuşukluk veya iğnelenmeler bazen de kolların parmaklarına kadar yansıyabilir. Bunun nedeni, kollarının parmaklarına doğru ilerleyen boynunda sıkışan bir sinir olduğudur.
Kuru iğneleme boyun ağrısına nasıl yardımcı olabilir?
Kurum İğneleme, boyun, omuzlar ve üst sırt kaslarındaki gerginliği gidermek için bir seçenektir. Genellikle bu kaslar boyun ağrısı olan insanlarda spazmlı, gergin, hassas ve tetik noktalar içerirKuru iğneleme boyun kaslarında oluşam spazım ve gerginliklerin gevşemesini sağlayarak, boyun ağrısını önemli ölçüde azaltabilir, hareket kabiliyetini iyileştirebilir, iyileşmeyi hızlandırabilir ve boynun doğal işlevini geri yükleyebilir. Fizyoterapistiniz, kuru iğneleme işlemini,boyun hareketliliğini korumak için manuel terapi, spesifik egzersizler ve boyun / üst sırt sertliğini azaltmak için duruş / optimal pozisyonlar hakkında eğitim gibi diğer tedavilerle birleştirir.
Araştırmaların gösterdiği sonuçlara göre
Araştırmalar, son zamanlarda boyun ağrısı geçiren (örn., Boyun ağrısı yakınlarda başladı) hastaları gösterir, kuru iğneleme uygulanan hastalar ağrıyı azaltmış, ağrı toleransı yüksektir ve boyunlarında kuru iğneleme almayanlara göre daha fazla hareket görmüştür Hem tedaviden 10 dakika sonra hem de 1 hafta sonra iğneleme. Spesifik olarak, kuru iğneleme uygulayan grubun tedaviden sonra 10 dakika sonra% 33 daha az ağrı ve tedaviden 1 hafta sonra% 66 daha az ağrı vardı.
Tetikleyici noktalardan (sert düğüm) dolayı boyun / sırt ağrısı olan hastalarda kuru iğneleme ile ilgili 12 yüksek kaliteli çalışma inceleyen diğer bir büyük araştırma, plasebo veya ‘uygulama yapılmayan tedavisine’ kıyasla (iğneli ancak iğne bulunmayan hastalar) kas içine tamamen sokulmuştur) kuru iğneleme daha etkili olup, tedaviden hemen sonra ve tedaviden 4 hafta sonra boyun ağrısını azaltmada önerilir.
Pratik tavsiye
Fizyoterapist, boyun ağrısı yaşarsanız, başlamış olsun veya olmasın, boynunuzda ağrının en muhtemel nedenini / nedenlerini belirlemek için ayrıntılı bir değerlendirme yapabilir. Rijiditenin kötüleşmesini ve hareketi ilerletmeyi önlemek için bir fizyoterapistin erken görüşülmesi önerilir. Boyun ağrınızın olası nedenleri / sebepleri belirlendikten sonra, hareketinizi iyileştirmek ve ağrınızı azaltmak için kuru iğneleme, manuel terapi, egzersizler, eğitim veya diğer tedaviler için bilgi vereceklerdir.. .

Servikal Dar Kanal

BOYUN DA DAR KANAL rahatsızlığı, kollarda duyu kaybı ve kuvvet azalmasına ayrıca yürüme esnasında denge bozulmasına neden olabilir.
Boyun omurları arasından sinirlerin geçebilmesi için mevcut olan boşluğun her hangi bir nedenle azalmasını ifade eder. Bazı kişilerde doğuştan itibaren kemik yapısında ki farlıklılık nedeniyle sinirlerin geçeceği boşluklar (servikal kanallar) nispeten dar olabilir. Disklerin fıtıklaşması, kireçlenmelere bağlı olarak genişlemeler de bu darlığa neden olabilir.

Kanalın daraldığı bölgeye göre myelopati veya radikülopati adı verilen bulgular ortaya çıkabilir. Servikal myelopati, boyun bölgesinde omuriliğin baskıya uğraması sonucu gelişen hem kolları hem bacakları etkileyen, ince işlerdeki beceri kaybının ve denge problemlerinin de eşlik ettiği bir durumdur. Servikal radikülopati ise, boyundaki spinal sinir kökünün tahrişi veya basısı sonucunda kolun belirli bir bölgesinde meydana gelen işlev kaybıdır.
Boyunda Dar Kanalın Belirtileri Nelerdir?
Dar kanal miyelopati ve radikülopati denilen iki tip bozukluğa neden olabilir.
- Servikal miyelopati, boyun bölgesinde omuriliğin basıya uğraması sonucu gelişen üst ve alt ekstremitelerde (uzuvlar) işlev kaybını ifade eder.
- Servikal radikülopati, boyundaki spinal sinir kökünün tahrişi ve/veya basısı sonucunda kolların belirli bir bölgesinde meydana gelen kuvvet ve duyu kaybıdır.
- Birçok hastada, servikal miyelopati zaman içinde giderek artan bir şekilde ilerler.
- Ellerin çalışma şeklinde hafif değişikliklere neden olabilir.
- Hastalar ellerinin becerisinin azaldığını,
- Eşyaları daha sık olarak düşürdüklerini,
- Gömlek düğmelerini eskisi kadar kolayca bağlayamadıklarını,
- Ya da el yazılarının eskiye göre daha kötü olduğunu fark edebilirler.
- Denge kaybı da meydana gelebilir ve yürürken eskiye göre daha fazla oranda eşyalara tutunma ihtiyacı oluşturabilir. Yürüme gözle görülür derecede dengesiz olabilir.
- İleri olgularda, kol ve bacaklarda ileri derecede kuvvetsizlik ve hissizlik meydana gelebilir.
- Nadiren barsak ya da mesane kontrolünde değişiklikler olabilir.
- Servikal radikülopati, boyundan başlayıp sağ ya da sol kolun, önkolun ya da elin belirli bir bölgesine yayılan bir ağrı olarak kendini gösterir. Birçok olguda bu şikayetlere, aynı yerleşimde olan, kol, önkol ve elin belirli kaslarının güçsüzlüğü de eşlik eder.
Boyun Fıtığı- Yırtığı
SERVİCAL DİSC HERNİSİ

Boyun kemikleri arasında yastıklama ve şok emilimi görevlerini üstlenen diskler bulunmaktadır. Zorlanmalar, kazalar ve yaşlanmanın bir parçası olarak diskte meydana gelen bozulmalar sonucu içerisindeki jel kıvamlı sıvının dışarı çıkması, omurilik ve sinirlere baskı yapması ile oluşan klinik tablo boyun fıtığı olarak adlandırılır.
Servikal disk herniasyonu sonucu, çıkmakta olan sinir kökü tahrişi veya sıkışıklığın da servikal radikülopati gelişebilir. Genellikle boynunuzdaki fıtıklaşmış bir disk, disk alanı yüksekliği kaybı ve diskin kendisinin ilişkili periferal şişmesi dahil olmak üzere, servikal omurganın ilerleyici dejeneratif değişikliklerinin bir sonucu olarak gelişir.
Radikülopatinin semptomları arasında, kol ağrısı veya uyuşma ve bazen de boyun ağrısı ile ilişkili veya boyuna yayılan zayıflama yer alır. Boyun fıtığı klasik olarak kola yayılan ağrısıyı içerir. Bazen hasta belirli bir sinir kökü boyunca dolaşan acıyı tanımlar, ancak çoğu zaman şikayet, boyun bölgesinde ortaya çıkan ve koldan aşağıya doğru yayılan yaygın ağrıdır. Bir hasta, zaman zaman, semptomların başlangıcını, incitici bir travma veya yaralanma ile tanımlayabilir, ancak daha sık olmamakla birlikte, belirli bir olay tanımlanmaz.
Fizik muayenede refleks kaybı, kas zayıflığı veya atrofi ve belirli bir sinir kökü dağılımını izleyen ağrı veya uyuşma ararız. Sekiz servikal sinir kökü vardır. En çok etkilenen sinir kökleri C5, C6 ve C7’dir. Omurilik ya da ağrı üreten sinir kökleri üzerindeki baskıdır. Hastaların% 85’inden fazlasında, akut servikal radikülopati semptomları konservatifyani tedavilerimiz ile iyileşir.
BOYUN FITIĞININ NEDENLERİ
Bir disk, bir defada çok fazla basınç uygulandığında bir disk aniden yırtılabilir veya zaman içinde tekrarlanan yaralanmalardan dolayı anulusun zayıflaması nedeniyle küçük bir kuvvet miktarından da kopabilir.

BOYUN FITIĞININ BELİRTİLERİ
Servikal disk herniasyonundan kaynaklanabilecek bir dizi semptom olsa da, aşağıdakiler en yaygın olanlardır.
- Boyun ağrısı
- Kol ağrıları, karıncalanma veya uyuşukluk hissi kolun uzağında ve muhtemelen el
- Kas Güçsüzlüğü
- Boyunda başlayan zamanla omuz ve kollara da yayılan ağrılar
- Boyun hareketlerinde seslerin gelmişi
- Boyun bölgesinde kas spazmları
- El ve kollarda uyuşma ve güç kaybı
- Yorgunluk
- Baş ağrıları ve sersemlik
- Stres ve gerginlik hissi
- Konsantrasyon bozuklukları
- Baş dönmesi
- Uyku bozuklukları
- sabahları boyun kaslarında sertlik
Boyun kireçlenmesi

Boyundaki disklerin yırtılmaları ve aşınmaları ile başlayan, zamanla kemiklerde , bu zorlanmalara bağlı olarak gelişen aşırı kireç yapımı omurgalarda çıkıntıların oluşmasına ve eklemlerde yapısal bozukluklara neden olan değişikliklerin tamamını içeren bir terimdir. 65 yaş üzerindeki kişilerin yaklaşık olarak %90’ında az veya çok miktarda kireçlenme mevcuttur. Servikal artrit veya spondiloz terimleri ile de anılır. Boyunda tutukluluk, hareketsizlik, başa ve kollara yayılan ağrı ve uyuşma şeklinde belirtiler gösterebilir.
Boyun kireçlenmesinin en çok görülen nedenleri
- Yaşlanma : Hayatınızın belli bir aşamasından sonra eklemlerde ve eklem çevresi yumuşak dokularda bir takım BOZULMALAR (dejeneratif değişiklikler )olur.
- Geçirilmiş boyun fıtıkları : Hayatın daha erken evrelerinde karşılaşılan boyun fıyığı genellikle kireçlenmelere sebep olarak iyileşir.
- Duruş bozuklukları :Baş ve boyunu uzun süre aynı pozisyonda tutmak, boyunda sertleşmeye yol açarak kireçlenmelere neden olabilir. Duruş bozukluğu boyun omurlarına binen yükü altı kat kadar artırarak omurların ve disklerin daha erken yıpranmasına neden olur.
- Aşırı kullanma: Boyun etrafındaki belirli eklemlerin uzun süre kullanılması da boyun kireçlenmesi riskini artırır. Sakız çiğnemek, dişleri gıcırdatmak, ya da uzun süre bilgisayar ekranına bakmak boyun eklemlerinin aşırı kullanılmasına neden olur.
- Sakatlıklar : Boyun omurları ve omurga bir düşme ya da kaza sonucu sakatlanarak boyun kireçlenmesine neden olabilir.
BOYUN KİREÇLENMESİ BELİRTİLERİ
Boyun kireçlenmesinin ilk ve en önemli belirtisi boyun hareketlerinde tutuklulukdur. Rahatsızlık ilerledikçe ortaya çıkabilecek belirtiler şunlardır,
- Boyunda başlayan zamanla omuz ve kollara da yayılan ağrılar
- Boyun hareketlerinde seslerin gelmişi
- Boyun bölgesinde kas spazmları
- El ve kollarda uyuşma ve güç kaybı
- Yorgunluk
- Baş ağrıları ve sersemlik
- Stres ve gerginlik hissi
- Konsantrasyon bozuklukları
- Baş dönmesi
- Uyku bozuklukları
- sabahları boyun kaslarında sertlik
BOYUN KİREÇLENMESİ TEDAVİSİ
Boyun kireçlenmesinin tedavisinde temel amaç ilerleyen zamanlarda eklemlerde ortaya çıkabilecek olası hasarları ve belirtileri önlemektir. Rahatsızlığın şiddetine göre tedavi seçenekleri şunlar olabilir;
- Kuru iğne tedavisi, paravertebral kas spazmını çözmede oldukça etkilidir.
- Manuel terapi yöntemleri
- Kinezyolojik bantlama
- Fizyoterapi yöntemleri, traksiyon, US, TENS
- Ağrı kesici ve kas gevşetici ilaçlar
- Tedavi edici sıcak ve soğuk uygulamalar
- Kasları güçlendirmeye ve esnekliği artırmaya yönelik egzersizler
- Tıbbi boyunluklar kullanmak boyun hareketlerini sınırlamada etkilidir.
- Boyun bölgesine steroit enjeksiyonları yapılabilir.
- Tedavi edici masaj
- Nadiren cerrahi müdahele gerekebilir.
Romatizmal Hastalıklar
Romatoid artrit, ankilozan spondilit gibi hastalıklar boyun hareketlerinde kalıcı kısıtlılık yapabilir. Ancak mekanik ağrıların tersine bu hastalıklarda ağrı hareketle azalır uzun süreli istirahatle ve özellikle geceleri artar. Sabahları görülen yarım saatten fazla süren eklem sertliği ve hareket zorluğu romatizmal hastalıklar için tipiktir.
Omurga Kanalında Daralma
Omuriliğin ve/veya sinirlerinin geçtiği kanalların daralması ve omurilik beslenmesinin bozulması ile ortaya çıkar. Özellikle ileri yaşlarda ellerde uyuşma, kuvvetsizlik ve beceriksizlik, yürümede zorluk ve
el-ayaklarda his kusuru görülebilmektedir.
Miyofasiyal ağrı sendromu nedir , Kulunç Hastalığı belirtileri nelerdir

Miyofasyal ağrı sendromu olarak da bilinen kulunç hastalığı kronik ağrılı bir hastalıktır. İki kürek kemiği ile omuz başları arasında kalan sırtın üst kısmına kulunç denir. Bu bölgede meydana gelen ağrı kulunç ağrısı olarak tanımlanır.
Miyofasiyal Ağrı Sendromu adı verilen boyun ve sırt kaslarında duyarlı noktalarla kendini gösteren yumuşak doku kaynaklı ağrılar olabilir. Boyundan çıkan sinirlerin omuz ve koltukaltı bölgesinde sıkışması da
Miyofasiyal ağrı sendromu, kas-iskelet sistemini etkileyen kronik bir ağrı durumudur.
Çoğu insan , birkaç hafta süren tipik olarak kendi kendine iyileşen kas ağrısı yaşar . Ancak bazı insanlar için kas ağrısı kendi kendine geçmek bir yana ızdırap verici bir hal alır.devam
Miyofasiyal ağrı sendromu (MPS) olan kişilerde hassas noktalar tetikleyici noktalar olarak bilinir. Bu bölgeler, gergin, kasların (fasya) ropey bantlarında gelişir. Bu tetik noktalarına basınç uygulandığında, vücudun farklı bir yerinde ağrı vardır.
MPS’nin sık görülen belirtileri arasında:
- Lokalize kas bölgelerinde derin ağrı
- Etkilenen kas gerildiğinde veya dokunulduğunda çoğalan ağrı
- Kötüleşen veya zamanla düzelmeyen kas ağrısı
- Basıldığında yoğun lokalize veya kaslarda ağrılı düğümlerin varlığı
- Zayıf, sert, esnek olmayan veya hareketle artan ağrılı kaslar
- Ruh hali veya uyku bozuklukları
Kulunç hastalığı belirtileri nelerdir?
- Kaslarda şiddetli ağrı
- Ağrıdan dolayı uyumakta zorluk
- Sırttan kola doğru yayılan ağrı ve uyuşma
- Boyun ağrısı
- Nefes alırken göğüste batma hissi
- Ağrı kesicilerin etkili olmaması
- Sürekli yorgunluk hali
- Eklemlerde tutukluk
- Kaslarda ağrı, spazm, uyuşma, batma, karıncalanma, tutukluk
Kulunç hastalığı kimlerde görülür?
Kulunç ağrısı 7’den 70’e her yaşta sırt kaslarını kötü herkeste görülebilir.
Fakat genelde şu kişilerde miyofasyal ağrı sendromu MPS ile daha çok karşılaşılır;
- Masa ve bilgisayar başında çalışan kişilerde
- Bilgisayar, laptop, telefonu sık kullananlarda
- Telefon kullanırken baş ile boyun arasına koyup sıkıştıranlarda
- Badanacı ve boyacılarda
- Sık kamera kullanan kameramanlarda
- Makinede sürekli dikiş yapan tekstil işçilerinde
- Profesyonel sporcularda
- Psikolojik nedenler de bu kaslarda kasılmaya yol açabilir.
- Genetik yatkınlığı olanlarda
- Duruş bozukluğu yaşayanlarda
- Demir ve d vitamini eksikliklerinde
Ağrı ve Yorgunluk hastalığı fibromiyalji

Son yıllarda adını sık duyduğumuz sorunlardan biri olan fibromiyalji, modernleşmeyle birlikte görülme hızı artan hastalıklardan biri. Fibromiyalji belirtileri neler?
Ekonomiyi, iş hayatını ve gündelik yaşamı olumsuz etkileyen ve “çağın hastalığı” olarak tanımlanan fibromiyalji dünya nüfusunun yüzde 3 ila 6’sını etkileyen yaygın bir rahatsızlıktır. Ancak hastalık tek bir şikayetten ziyade, yaygın kas ağrıları, baş ağrısı, yorgunluk, bitkinlik, halsizlik, uyku düzensizlikleri, depresif ataklar ve bazen de spastik kolit denilen birçok problemin eşlik ettiği genel bir sendrom olarak tanımlanıyor.
10 fibromiyalji hastasına hastalığınızı ve hissettiklerinizi tanımlayabilirmisiniz diye sorsak en az 20 farklı cevap alabiliriz. Fibromiyalji ağrısı birçok farklı şekilde ortaya çıkabilir. Ama hemen hemen tüm hastaların ifade etmeye çalıştığı şikayet, yorgunluk ve sabah yataktan çıkmanın ne denli zor olduğudur.
İskelet kaslarında ağrı ve yorgunluk çeken çoğu insanda fibromiyalji veya MPS vardır. Fibromiyalji, yaygın kas ağrısı ağrısıdır. Tüm vücutta hissedilir. Ancak, MPS’li insanlar, bel, boyun veya çene gibi bölgesel kas gruplarında lokalize ağrı hissederler.
MPS, kasların gergin ropey bantlarında birkaç lokalize tetikleme noktası ile karakterize edilir. Bu tetik noktaları hassas ve lokalize ağrı üretebilir. Ancak belirleyici özellikleri, belirtilen acıları tetiklemeleridir. Fibromiyalji, çoklu, daha yaygın belirgin noktalarla ilişkilidir . Bunlar tetik noktalarından farklıdır çünkü yönlendirilmiş ağrı üretmezler.
Nedenleri ve risk faktörleri

Tekrarlayıcı yoğun ağır çalışmalar sonucunda kasın aşırı kullanımı, kas travması (yaralanma) veya psikolojik stres nedeniyle ortaya çıkar. Tetikleme noktaları genellikle işte ağır nesneleri kaldırmak veya gün boyu bilgisayarda çalışmak gibi sürekli tekrarlanan aktivitelerden kaynaklanır. Miyofasiyal tetik noktalarının gelişiminden tek bir faktör sorumlu değildir. Katkıda bulunan faktörlerin bir kombinasyonu şunları içerebilir:
- Duruş ve postür bozuklukları
- Kötü pozisyonlarda uzun süre oturmak
- Beslenme yetersizlikleri
- Ciddi egzersiz veya hareket eksikliği
- Kas-iskelet sistemi veya intervertebral disklerde herhangi bir yaralanma
- Genelleştirilmiş yorgunluk
- Uyku eksikliği
- Hormonal değişiklikler ( menopoz )
- klimanın önünde uzun süre soğuğa maruz kalma
- Duygusal problemler (depresyon, anksiyete)
- Diğer ağrı veya iltihaplanma koşulları
- Obesite
- Sigara içmek
Miyofasiyal ağrı sendromu (kulunç) tetikleyici puan tablosu

Kuru iğneleme, myofascial tetik noktalarını etkisiz hale getirmenin en hızlı yollarından biridir.
MPS birlikte yaşamak zor bir durum olabilir. Acınızı yönetmenin anahtarı kapsamlı bir tedavi olacaktır. Herkes için en iyi sonucu veren tek bir tedavi yoktur, bu nedenle eğer bir tedavi işe yaramazsa cesaretini kırmayın. Ancak, bazı tedavi türleri ve sağlıklı yaşam tarzı seçimleriyle, MPS’nin ağrısı başarılı bir şekilde yönetilebilir.
Psikolojik Faktörler
Vücudumuzdaki kasların çoğunluğu çalışmadığı zaman tamamen gevşer. Ancak ‘yerçekimine karşı koyan kaslar’ olarak bilinen ve boyun kaslarını da içeren bazı kaslar vücudumuzu dik pozisyonda tutmak için sürekli çalışmak zorundadır. Boyun kasları çok çalışırlarsa, gerilim tipi başağrısına neden olurlar. Kişi herhangi bir konuda endişe duyduğunda, üzüldüğünde kaslarını gereğinden daha fazla kasar. Bu durum, kasların başın arka kısmına yapıştıkları yerde aşırı bir gerginlik oluşturur. Kas yapışma yerleri duyarlı ve ağrılı hale gelir. Ağrı çok şiddetlendiğinde boyundan yukarı başın arka kısmına ve öne doğru yayılır, hatta bazen ağrının gözlerinin arka kısmında hissedildiği söylenir.
Diğer Nedenler
Bazı kişilerde kötü duruş, çok yumuşak bir yatak ve yastığın kalınlığının uygun olmaması gibi nedenlerle birkaç günde kaybolan boyunda ağrı ve tutukluluk hissi gelişebilir.
Torasik Çıkış Sendromu denilen, boyundan kola yayılan ağrı ve uyuşukluğa neden olan hastalığa yol açabilir. Çok daha nadiren, boyundaki ağrı çok ciddi başka bir hastalığın belirtisi olabilir.
Boyun tümörleri, omurilik tümörleri, kemik enfeksiyonları (tüberküloz, bruselloz) da boyun ve kol ağrısı nedeni olabilir. Omuz ekleminden kaynaklanan ağrılar boyun ve kol ağrılarını taklit edebilir. Yemek borusu, nefes borusu, tiroid ve akciğer hastalıklarında da nadiren ağrı boyun bölgesinde hissedilebilir.
Boyun Ağrısında Ameliyatsız
Tedavi Yaklaşımları
KURU İĞNE TERAPİSİ

Tecrübeli ellerle yapılan palpasyon muayenesi, tedavi uygulanacak bölgenin veya bölgelerin belirlenmesine yardımcı olur.
Kuru İğne uygulaması diğer adıyla İMS (intramusküler stimülasyon) ağrılı kas spazmlarının çözülmesi için kullanılan önemli bir uygulamadır. Tek başına pek çok ağrılı , spazımlı, gergin ,dolaşımı bozulmuş kasların ve bölgelerin eski sağlığına kavuşturulması için yeterlidir. İMS ;Kuru İğneme, fizik tedavileri, kaplıca tedavileri, egzersiz tedavileri, kinezyolojik bantlama teknikleri ve kayropraktik yöntemler ile birleştirilebilir.
Öncelikli olarak boyun duruş bozukluklarının (postür) düzeltilmesi,kişiye baş ve boynun doğru duruşu öğretilmelidir.

İş ortamında uygun değişikliklerin yapılarak aşırı stresin baş , boyun ve bele binen aşırı yükün azaltılması tedavinin devamlılığı için gereklidir.
‘’Boyun ağrınız olduğunda, boynunuzdaki kaslar genellikle dokunmayla acı vericidir. Büyük bir alandaki ağrıya neden olabilecek bir kas veya bağ dokusu içindeki sinirli, “sert” “düğümler” tetik noktaları olarak adlandırılır. Bu acı alanlar günlük faaliyetlerinizi ve hareketlerinizi sınırlandırabilir. Kuru iğneleme, aynı zamanda tetik noktası kuru iğneleme olarak da adlandırılır ve çok ince bir iğneyi cildin üzerinden iterek tetik noktasını uyarmayı içeren bir tedavidir. İğne, tetik noktaları ile ilişkili sıkı kas bandlarını rahatlatabilir. Sonuç olarak, iğneleme iğnesi, boyun ağrısı olan hastalarda ağrıyı azaltmada ve hareketi arttırmada yardımcı olabilir. JOSPT’nin Nisan 2014 sayısında yayınlanan bir araştırmada , bir grup araştırmacı boyun ağrısı olan hastalar için kuru iğnelemenin yararlarını ölçtü.
’’Tetikleme noktaları ağrı kaynağı olabilir ve boyun hareketini sınırlayabilir. Kuru iğneleme bazı fiziksel terapistlerin sağladığı tetik noktaları için özel bir tedavidir. Kısa vadede, bu çalışmanın bulguları, tek bir kuru iğneleme tedavisinin ağrıyı azaltabileceğini ve hareketi iyileştirdiğini düşündürmektedir. Kuru iğneleme genellikle ağrıyı daha da azaltmak için hareketler ve günlük aktiviteleri gerçekleştirme becerisi de dahil olmak üzere diğer tedavilerle birleştirilir. Fizyoterapistiniz acınızı azaltmak ve işlevinizi geliştirmek için tasarlanmış bir programın bir parçası olarak bu tedavi için ne kadar uygun olduğunuzubelirlemeye yardımcı olmak için kapsamlı birdeğerlendirme yapar.”

Kuru İğneleme işleminin, vücut üzerinde, bölgesel, bölümsel ve sistemik olarak cevap verecek şekilde hareket ettiğini biliyoruz. Örneğin, bir İğne insan vücuduna verildiğinde, penetrasyon noktasında lokal reaksiyonlar oluşur. Vücut sitokinler, madde P ve CGRP (Calcitonin Gene RelatedPeptide) salacak şekilde reaksiyona girer. İğnenin deriye nüfuz ettiği yerde, vücut vazodilatasyona uğrar, artmış kan dolaşımı oluşumuna ve artmış doku onarımına neden olan bir dizi reaksiyona neden olan CGRP’yi serbest bırakır. Buna ek olarak, vücut bölümsel olarak spinal seviyede bir Enkefalin salınımı meydana gelecek şekilde lokal bir ağrı tepkisine neden olacak şekilde reaksiyona girer. Ayrıca, beyinden analjezik etki yaratan bir Beta Endorfin salınımı gerçekleştirir, genel bir sistemik tepki ile sonuçlanacak bir çok reaksiyon zincirini ve iyileştirme uyarısını başlatmış olur.

Araştırmacılar 17 hastayı inceledi. Tüm hastaların boyun ağrısı, çalışmaya başlandıktan sonraki 7 gün içinde başladı. Hastaların yarısına tetik noktası kuru iğneleme tedavisi, diğer yarısına tedavi uygulanmadı. Kuru iğneleme uygulanan hastalarda daha iyi sonuç alındı. Tedaviden hemen sonra, ağrıları% 33 oranında azalmıştır. Tedaviden bir hafta sonra ağrıları% 66 daha azdı. Ayrıca kuru iğneleme ile tedavi edilen hastalar başlarını öne ve arkaya doğru bükmek ve başlarını boynun ağrılı tarafına çevirmek için daha başarılıydı.’’
Hastalar için olan bu JOSPT Perspektifleri Mejuto-Vázquez ve arkadaşlarının, “Akut Mekanik Hastalarda Tetikleme Noktası Kuru İğneleme Uygulandıktan Sonra Boyun Ağrısında Kısa Süreli Değişiklikler, Yaygın Basınç Ağrısı Hassasiyeti ve Servikal Hareket Hızı” başlıklı bir makaleye dayanmaktadır. Boyun Ağrısı: Randomize Bir Klinik Araştırma, ” J Orthop Sports Phys Thor 2014; 44 (4): 252-260. Epub 25 Şubat 2014. doi: 10.2519 / jospt.2014.5108 .
Boyun Ağrısında Ameliyatsız
Tedavi Yaklaşımları
Kinezyolojik Bantlama
Kinezyo bantlama uygulamalarının sinir sistemi, kas-iskelet sistemi ve dolaşım sistemi üzerine olumlu etkisi vardır. Özellikle kas dokusu üzerine destek sağlayarak, kasların daha rahat çalışmasına destek olur. Uygulandığı bölgenin metabolizmasının normale dönmesi üzerine etkisi olduğu ve bu sayede dolanım ve ağrısız harekete olan katkısı ile iyileşmenin hızlandırılmasında diğer tedavilerle birlikte kullanıldığında oldukça etkili bir yöntemdir.
Kaslar,aşırı zorlayıcı kullanım ile çok uzun süre çalışmak zorunda kalındığında veya kapasitesinin üzerinde yüklenildiğinde kas dokusunda küçük ya da büyük boyutlarda yaralanmalar oluşur. Bu zorlanmalar sonucuağrılı, yangılı, bir durum meydana gelir. Ağrılı ve yangılı kaslar ödem nedeniyle şişerek yer aldıkları bölgede alanı daraltarak lenfatik akıma engel olur ve ayrıca cilt altında yer alan ve ağrı duyusunu yaratan sinir uçlarını da uyararak kişide ”ağrı ve rahatsızlık hissi” uyandırır.

Kinezyo-bantlama uygulaması ile derinin yukarı kalkması sağlanır. Cilt ile kasların arasındaki boşluğuarttırarak yaralanma sonucu oluşan ödeme bağlı baskıyı azaltmaktadır.
Kinezyo-bantlama yapılan yaralı bölgedeki baskının azalması, dolaşım ve hareketi arttırarak o bölgedeki yangının azalmasına, deri altındaki sinir uçlarının serbestleşerek ağrı alıcılarının uyarılmasını engelleyerek ağrısız hareket etme imkanını sağlar.

Kinesio Taping ağrıyı hafifletir ve cildi kaldırarak lenfatik drenajı kolaylaştırır.Bantlanmış kısım ciltte kıvrımlar oluşturur, böylece interstisyel boşluğu yani dokulararası boşluğu arttırır ÖDEMİN AZALMASINA YARDIMCI OLUR. Sonuç olarak basınç ve tahrişin nöral / duyusal reseptörlerden uzaklaştırılmasıdır. Daha sonra, yavaşça, lenfatik sistemden daha serbest bir şekilde süzülmesini sağlayan basınç alınır.
Literatür incelemesi/ makalelerin / Miyofasiyal Ağrı / Tetikleme noktaları / Kronik Venöz Yetmezlik / Ağrı / Miyofasiyal Ağrı Sendromları
Miyofasiyal Ağrı Kontrolü için Kinesio Bantlama Yöntemi
Madde · Literatür İncelemesi (Mevcut PDF) içinde Tamamlayıcı Kanıt temelli ve Alternatif Tıp 2015 (3-4) · Temmuz 2015 ile 547 okur
DOI: 10.1155 / 2015/950519
Boyun Ağrısında Ameliyatsız
Tedavi Yaklaşımları
MANUEL TERAPİ

Manuel tedaviningenel amacı yeniden yapılanmayı sağlamak, oluşan yapışıklıkların açılmasını hızlandırmak, ağrısız fonksiyon sağlamak ve dokunun iyileşme kapasitesini artırarak kişinin günlük ve/veya spor yaşantısına dönüşü hızlandırmaktır. Manuel tedavi teknikleri yumuşak doku ve eklem teknikleri olarak ayrılır. Yumuşak Doku Teknikleri; masaj, kas gevşetme, germe ve egzersiz, Eklem teknikleri ise traksiyon, kayma, germe ve egzersiz olarak yapılır.
Manuel terapi yöntemi özel teknikler içeren ve tamamen elle uygulanan bir tedavi yöntemidir. Kemiksel deformiteleri düzeltmeyi amaçlayan ve egzersizle birleştirildiğinde etkisi yüksek bir tedavi konseptidir. Manuel tedavi, özellikle ortopedi, fiziksel tıp, nöroloji ve romatoloji alanlarındaki bir çok hastalığın tedavisine katkıda bulunan manipülasyon ve mobilizasyon gibi teknikleri kapsar.

Boyun Ağrısında Kayropraktik Yaklaşımları
Kayropraktik kas iskelet sistemi ve sinir sistemi bozukluklarına odaklanan bir sağlık mesleğidir.Kayropraktik uygulamalar, kas iskelet sistemi ve sinir sistemi bozukluklarının genel sağlık üzerindeki etkileri olan sırt ağrısı, boyun ağrısı, kolların, bel veya bacakların ekleminlerindeki ağrı ve baş ağrısı gibi nöromüsküloskeletal şikayetlerin tedavisinde sıklıkla kullanılır.
Spinal Kayropraktik Nedir?
Kayropraktik doktorları tarafından uygulanan en yaygın ve iyi bilinen terapötik işlemlerden biri spinal manipülasyon (bazen “kayropraktik adjustment (düzeltme)” dir. Omurga manipülasyonunun amacı, doku hasarının bir sonucu olarak, hipomobil haline gelen veya hareketlerinde kısıtlanan eklemlere elle kontrollü bir kuvvet uygulayarak eklem hareketliliğini düzeltmektir. Doku yaralanmasına ağır bir nesnenin uygunsuz şekilde kaldırılması veya uzun süre yanlış omurga duruşuyla garip bir pozisyonda oturmak gibi tekrarlı stresler yoluyla tek bir travmatik olay neden olabilir. Her iki durumda da, yaralı dokular bir kişide iltihaplanma, ağrı ve işlev kaybına neden olan fiziksel ve kimyasal değişikliklere maruz kalırlar. Etkilenen eklem ve dokuların manipülasyonu veya düzeltilmesi, hareketliliği geri kazandırır.
Boyun ağrısı olan kişilere faydalı öneriler
- Asla ağır cisimleri kaldırmayın, çekmeyin ve itmeyin. Taşıyacağınız yükleri eşit olarak her iki elinize bölün.
- Başınızla yük taşımayın. Baş seviyesinin yukarısına doğru yük kaldırmayın.
- Boynunuzu sürekli öne eğik veya aynı pozisyonda sabit tutmayın.
- Telefonu konuşurken boyun-omuz arasına sıkıştırmayın.
- Otururken sırtınızı düz tutun ve yaslanın.
- Gerekirse boyun kıvrımınıza uyan boyun yastığı ile boynunuzu takviye edin.
- Yatak dışında boynunuz düşercesine uyuya kalmayın.
- Aşırı yüksek yastık kullanmayın.
- Çalışma şartlarınızı ve koşullarınızı iyi düzenleyin.
- Özellikle bilgisayar ve masa başında 30 dakikada bir pozisyon değiştirin.
Egzersizler
- Boyun için önerilen egzersizler tam hareket açıklığının korunmasını sağlar ve kasların gücünü artırır.
- Ağrı geçtikten sonra boyunda kalabilen tutukluluk şikayetinin tedavisinde çok yardımcı olmaktadır.
- Yüzmek, bisiklete binmek, yürümek gibi yumuşak boyun hareketlerini içeren spor faaliyetleri de yararlıdır.
- Ancak tenis gibi ani boyun hareketlerini içeren sporlar şikayetlerde bir alevlenmeye neden olabilir.
- Genel olarak ağrının izin verdiğinden daha fazla boyun hareket ettirilmemelidir.